Un soplo en el corazón es una pequeña deformación que aparece desde el nacimiento, y que si no se cura por sí misma, puede causar graves problemas de salud al niño durante toda su infancia y también en la etapa adulta. Puede parecer algo sin importancia, pero cuando decimos el corazón es uno de los órganos más importantes para la vida, es porque realmente necesitamos que funcione al 100% para poder tener una vida plena.
El soplo cardíaco suele manifestarse desde el principio de una forma de la que apenas nos podemos percatar si no prestamos atención. En el paciente no tiene por qué dar ningún problema desde el nacimiento, pero si no se corrige a tiempo, sí que puede empeorar hasta convertirse en una deformación muy grave.
Si te han dicho los médicos que tu bebé quizás tenga un soplo en el corazón, te contamos todo lo que debes saber sobre esta peculiaridad en este órgano tan delicado. De todos los ruidos cardíacos que se pueden detectar, es el más común y el más fácil de tratar, así que no te asustes. Sigue leyendo y conoce los detalles sobre el soplo en el corazón en niños.

¡Pincha en lo que más te interese!
¿Qué es un soplo en el corazón?
Un soplo en el corazón no es más que un ruido que se detecta como un pequeño silbido cuando late el músculo cardiaco. Este sonido es debido a que se está produciendo un flujo de la sangre a través del corazón de forma irregular, que puede ser en el interior del mismo corazón, o en las zonas cercanas a este.
Este silbido aparece cuando las válvulas cardíacas no funcionan del todo bien. La función de estas válvulas es cerrarse justo después de cada latido, impidiendo que la sangre que se ha propulsado pueda volver atrás, y favoreciendo así que siempre fluya de la forma correcta.

Si un niño ha nacido con una válvula que funciona de forma incorrecta, la sangre puede volver hacia atrás porque ésta no cierra bien, o puede que no se abra bien, y la sangre no pueda pasar correctamente. En el primer caso se trata de una regurgitación, y en el segundo caso de una estenosis. Ambos tipos de problemas son los que puede causar un soplo de corazon.
El soplo en niños puede ser un problema de desarrollo más común de lo que podemos llegar a pensar. Esto es debido a que el soplo infantil se produce en recién nacidos que aún no tienen bien desarrollados todos los órganos de su cuerpecito, que seguirán hasta su desarrollo normal en los primeros meses de vida del pequeño.
Pero cuando el soplo funcional tiene un grado más elevado, puede que el problema no se solucione por sí mismo, provocando un silbido cada vez más fuerte, que incluso se note cuando se coloca la mano sobre el pecho. En estos casos, el soplo cardíaco en niños y adultos necesita un tratamiento específico para evitar posibles riesgos.
Tipos de soplos en el corazón
El latido del corazón tiene varias etapas, y según dónde se encuentre el problema, los ruidos del corazón o soplos pueden ser de varios tipos:
Soplo sistólico
El soplo sistolico ocurre en la contracción del músculo cardiaco, puede estar causado porque un vaso sanguíneo de salida de la sangre sea más estrecho de lo normal, o porque una válvula del corazón no funcione correctamente.

Soplo diastólico
Es un soplo cardíaco funcional que se produce cuando el primer ruido cardíaco no es correcto, es decir, cuando el corazón se relaja y los latidos no se escuchan de la forma habitual. Este soplo es debido a que la válvula tricúspide o mitral, que se encuentran dentro del corazón, son más estrechas de lo normal, o cuando la válvula aórtica o pulmonar no se cierran bien y la sangre se regurgita.
Soplo continuo
Cuando el sonido sibilante se escucha durante toda la función cardíaca, se produce lo que se denomina soplo continuo, que quiere decir que hay varios fallos en la función de las válvulas cardíacas, debido a una malaformación en el corazón.
Soplo inocente
El soplo inocente en bebes es muy común en los recién nacidos, y no está relacionado con ningún fallo en la función del corazón ni con un defecto genético. Es un pequeño ruido que acaba desapareciendo cuando el bebé crece, debido a que su corazón aún no estaba correctamente formado, y al final se soluciona por sí mismo.

Este soplo infantil solo precisa de un control de los niños, sin que revista más gravedad en la salud de los pequeños.
Causas de un soplo en el corazón
Un soplo en el corazón puede estar causado por múltiples factores:

Mientras que un soplo sistólico en niños es más común por un fallo en la formación del corazón que aparece de forma congénita, se puede dar un soplo funcional en adultos por unos malos hábitos de alimentación.
Fallos en las válvulas cardíacas
Dejando a un lado el soplo inocente en niños, que acaba por solucionarse por sí mismo poco tiempo después del nacimiento del bebé, un soplo funcional en niños suele estar causado por algún fallo en la formación de las valvulas cardiacas.
Se produce un pequeño soplo en el corazón cuando las válvulas no abren o no cierran correctamente, produciendo un sonido sibilante que no mejora con el tiempo ni con el desarrollo del niño. Puede ocasionar una regurgitación cuando la válvula no cierra bien y se devuelve parte de la sangre después del latido, o una estenosis cuando la sangre no puede fluir bien debido a que una válvula es más estrecha de lo normal o se ha endurecido demasiado.

En niños mayores y adultos que no han nacido con este tipo de anomalías congénitas, los fallos en el funcionamiento de las válvulas del corazón se pueden dar por algunas enfermedades como la fiebre reumática, que afecta directamente a la válvula aórtica.
Cardiopatía congénita
Cualquier tipo de cardiopatía con la que nazca un bebé, puede dar lugar a diferentes problemas de comunicación entre las cavidades del corazón. Las válvulas entre aurículas y ventrículos, ya sea de la parte izquierda, derecha, o ambas partes del corazón, no funcionan correctamente y se produce un soplo.
Artereoesclerosis
En los adultos, una mala alimentación y hábitos de vida desequilibrados, pueden causar serios problemas de ateroesclerosis que afecten directamente a las válvulas y arterias del corazón.
En este caso, un soplo sistólico funcional puede estar causado por el engrosamiento de las arterias, que impide que la sangre pueda circular correctamente, produciendo un siseo cuando la sangre logra superar a duras penas este obstáculo.
Embarazo
Hay mujeres que durante el embarazo pueden sufrir grandes cambios en su cuerpo, que después de dar a luz desaparecen. Uno de estos cambios puede ser un soplo en el corazón, sin que sea peligroso, pero que sí necesita un buen seguimiento para descartar y evitar riesgos para la madre y el bebé.
En determinados problemas de salud como la anemia, problemas de hipertensión o incluso en pacientes que tienen hipertiroidismo, también puede aparecer de forma puntual un pequeño siseo en el corazón, provocando soplos que precisen ser controlados por los médicos.
Síntomas para detectar un soplo en el corazón
Los sintomas de un soplo en el corazón pueden ser muy variados según la procedencia de este ruido. Cuando hablamos de un soplo inofensivo, sobre todo en los soplos en bebés que corresponden a una falta de desarrollo en su corazón, apenas hay otros síntomas que acompañen al ruido anormal que se produce con cada latido.
En estos casos, el único síntoma que detectamos en el paciente es un sonido leve que resulta extraño cuando se ausculta el corazón. Se detecta como un pequeño silbido o reflujo, muy rápido y con poca sonoridad.

Pero cuando aparecen otros síntomas asociados a un soplo en el corazón, puede ser indicativo de que se trate de un problema cardíaco grave que precise de intervención urgente.
Estos síntomas nada tienen que ver con otras afecciones cardíacas, como pueden ser los pinchazos en el corazón más propios del infarto de miocardio, o la perdida de conciencia de los infartos cerebrales, por lo que son más fáciles de diferenciar cualquier el problema de corazón es otro.
- Cianosis; piel azulada, sobre todo en las extremidades, punta de los dedos de manos y pies, y en el rostro
- Hinchazón y retención de líquidos
- Falta de aire y sensación de ahogo
- Tos persistente
- Dolor pectoral
- Sudoración intensa
- Venas del cuello más marcadas
- Mareos y desmayos
- Problemas de desarrollo y crecimiento en bebés
Cuando se detectan síntomas graves que vayan acompañando a un problema en el ritmo cardíaco de un bebé o un adulto, hay que acudir rápidamente al médico para hacer un diagnóstico y aplicar el tratamiento más adecuado, antes de que sea demasiado tarde.
¿Se puede practicar deporte si se padece un soplo cardíaco?
Diagnóstico de soplo en el corazón
El primer paso cuando se sospecha de un soplo en corazón, es hacer una auscultación del corazón para detectar cualquier sonido anómalo. Si después de usar un estetoscopio, el médico sospecha de soplo, se enviará al paciente a un especialista para hacer las pruebas pertinentes.
Ecocardiograma
Es una prueba diagnóstica que permite controlar el funcionamiento de las válvulas del corazón para saber si están ejerciendo su función correctamente.

De esta forma se puede apreciar el movimiento y tamaño de las paredes del corazón y las venas y arterias colindantes, para comprobar si el murmullo se origina en alguna válvula o no.
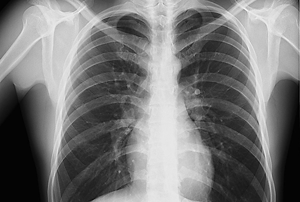
Radiografía
La radiografía del corazón nos permite comprobar si el tamaño del corazón es el correcto, para saber si este músculo se ha engrosado demasiado, o si tiene un tamaño más pequeño del que correspondería por un incorrecto desarrollo. Es una prueba meramente informativa, pero que se suele hacer para descartar cualquier problema cardíaco.

Electrocardiograma
Consiste en una prueba específica para detectar arritmias o cualquier otro fallo en el funcionamiento de los latidos del corazón.
Es una prueba básica que se suele hacer para conocer la naturaleza y tipo de soplo en el corazón que pueda sufrir cualquier paciente.
Tratamiento de los soplos en el corazón
Para los soplos en el corazón que son inofensivos, no hay ningún tratamiento médico. Son problemas de maduración del corazón que se solucionan por sí mismo, y que no tienen ningún riesgo para el paciente. Esto ocurre con un alto porcentaje de los soplos congénitos en bebés, que deben ser vigilados, pero que no precisan ningún tipo de intervención de urgencia.
Para el control de cualquier tipo de soplo, hay una serie de medicamentos que el médico puede recetar, así como algunas intervenciones quirúrgicas que pueden ayudar a corregir los casos más graves.

Por lo general, en todos los casos se suelen recetar los siguientes medicamentos:
- Medicamentos para facilitar la contracción del corazón
- Anticoagulantes
- Beta bloqueadores para disminuir la tensión arterial inhibiendo la enzima conversora de angiotensina
- Diuréticos
- Estatinas para controlar el colesterol
Cirugía para soplo en el corazón
En los pacientes que no mejoran y cuyo problema no tiene previsión de solucionarse por sí mismo, se suele llevar a cabo una cirugía para tratar su problema concreto.
Suelen ser intervenciones bajo anestesia general, en las que se amplían los agujeros cuando un vaso sanguíneo está bloqueado, reemplazar una válvula defectuosa, reconstruir o ensanchar un vaso sanguíneo dañado.

Aunque son intervenciones muy arriesgadas porque afectan directamente al corazón, son algunas de las más practicadas en muchos hospitales, y no entrañan demasiados riesgos para el paciente.
Sí que es importante seguir un buen tratamiento con antibióticos después de la operación para reparar el soplo en el corazón, con el fin de evitar complicaciones y posibles infecciones en el paciente. Finalmente, con una recuperación adecuada, el paciente podrá hacer vida completamente normal, sin volver a tener problemas en su corazón.
Por último, si te gustó el artículo sobre el soplo en el corazón, no te pierdas tampoco los siguientes artículos del blog:
- ¿Por qué se produce la insuficiencia respiratoria?
- Síntomas frecuentes de una angina de pecho
- Tratamiento efectivo para la hernia de hiato
Este blog utiliza enlaces de afiliación de Amazon y de otras plataformas. Cada vez que compras algo a través de ellos, estás apoyando mi trabajo con un porcentaje.









